Forumda yenilikler devam etmektedir , çalışmalara devam ettiğimiz kısa süre içerisinde güzel bir görünüme sahip olduk daha iyisi için lütfen çalışmaların bitmesini bekleyiniz. Tıkla ve Git
x

Son konular

Görüntüler Korkutucu: Aşılı ve Aşısız Olarak Koronavirüse Yakalanan 2 Gencin Akciğer Tomografisi

Görüntüler Korkutucu: Aşılı ve Aşısız Olarak Koronavirüse Yakalanan 2 Gencin Akciğer Tomografisi
0
33

teknoloji

FD Üye
Katılım
Ocak 9, 2022
Mesajlar
38,248
Etkileşim
1
Puan
36
Yaş
46
F-D Coin
83
s-23985a8d55170f02d29f3e0d2e6225156e743593.jpg


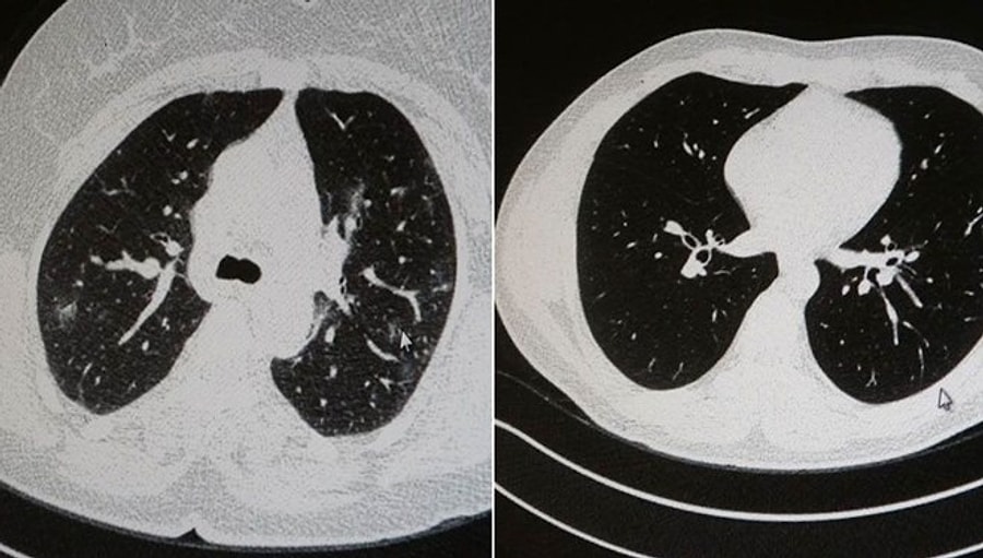
Elazığ'da iki genç, öksürük, halsizlik, yorgunluk ve çabuk yorulma üzere şikayetlerle hastaneye başvurdu. Uzmanı Dr. Cebrail Azar, koronavirüs tespit edilen 2 genç hastadan aşısız olan ile aşılı olan ortasındaki farkı, tomografi sonuçlarında gösterdi.



foto.haberler.com

Elazığ'da Göğüs Hastalıkları Uzmanı Dr. Cebrail Azar, geçtiğimiz yıla oranla yoğun bakımda yatan hastaların yaş ortalamasının 65’ten 35’lere kadar düştüğüne dikkat çekti.


"Akciğerlerde önemli lekelenmeler var"



cdn1.ntv.com.tr
Genç olduğu halde aşı olmayanlarda hastalığın ağır seyrettiğini tabir eden Uzm. Dr. Azar, 'Ben gencim, benim bağışıklık sistemim kuvvetli' diyen genç bir hastanın akciğerlerinde önemli lekelenmelerin olduğunu ve koronavirüs zatürresi olduğunu gördüklerini belitti.Uzm. Dr. Azar, tıpkı biçimde aşı olup koronavirüs hastalığına yakalanan bir öteki genç hastanın akciğer tomografisinde akciğerde rastgele bir sorunun olmadığını ve hastanın durumunun yeterli olduğunu gözlemlediklerini kaydetti.

"Hasta yoğunluğu 15-45 yaş aralığına düştü"


cdntr1.img.sputniknews.com
Virüsle çaba etmede en büyük silahın aşı olduğuna dikkat çeken Göğüs Hastalıkları Uzmanı Dr. Cebrail Azar, 'Pandeminin önünün kesilmesi, hastaların azalması için kesinlikle dikkat etmemiz gereken en değerli nokta aşı olmaktır. Bilhassa ebeveynlere en büyük tavsiyemiz, aşı olmalarıdır.

Son vakitlerde hastanelerde yatan hastaların büyük çoğunluğu aşısızlardan oluşmaktadır. Hastalığa yakalananların yaklaşık yüzde 80-90’ı aşısız olanlardır. Şu an ağır bakımda yatan hastalarının birçoklarının aşısız olduğunu görüyoruz. Maalesef, geçen yıl 65 yaş ve üstünde olan hasta yoğunluğu şu an 15 ile 45 yaş aralığına düşmüştür. Bu da gösteriyor ki aşı koruyor ve hastalığın ağır geçmesini engelliyor' dedi.

"Keşke bizde aşı olsaydık diyen çok"


cdn.lodoshaber.com
Yakınlarında ve hastalarında 'Keşke biz de aşı olsaydık' diyenlerin çoğunlukta olduğunu lisana getiren Uzm. Dr. Azar, 'Bunun dışında hastalığı atlatanların da bize birinci sordukları soru 'Hocam, aşımı en yakın ne vakit yapacağım’ demesi oluyor. Zira hastalığı önemli geçirdiği için aşının koruyuculukta büyük bir yararı olduğunu görüyor.

Şu an ağır bakımlarda, servislerde yaş ortalaması düşüyor. Tavsiyemiz, 'Ben gencim, benim bağışıklık sistemim kuvvetli' deyip bu virüs illetine karşı savunmasız kalınmamasıdır. Hasebiyle hastalıkla gayrette bedenin direnci şayet genetik olarak da zayıfsa ki bunu evvelce ön görmek çok güç, o vakit maalesef hastalığa bağlı kalıcı hasarlar kalabiliyor' diye konuştu.

Uzm. Dr. Azar, koronavirüsün öksürük, nefes darlığı, astımı tetiklemesi, çeşitli teneffüs yetmezliği, kalp ve böbrek hastalıkları üzere birçok sıkıntıya yol açtığını kelamlarına ekledi.
 
858,505Konular
982,770Mesajlar
33,065Kullanıcılar
DoxySon üye
Üst Alt